医療法人社団三翔会 おか脳神経外科<設備案内>
放射線診断科 東北大学病院
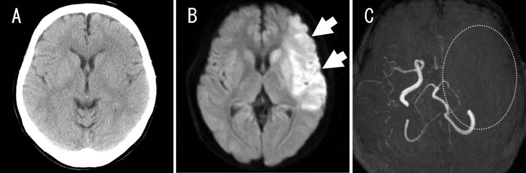
脑血管畸形该如何治疗?-INC国际神经外科医生集团
微生物学笔记在线微生物学和生物学研究笔记
梅宮アンナ、モフモフの愛犬に血管奇形が判明 : スポーツ報知
血管腫・血管奇形について u2013 東京大学大学院医学系研究科 形成外科学分野
陳明庭血管瘤基金會
血管内治療/IVR[InterventionalRadiolog]![血管内治療/IVR[InterventionalRadiolog]](https://www.minamitohoku.or.jp/up/news/southerncross/2010-51/p20.jpg)
血管奇形の新着記事|アメーバブログ(アメブロ)
医療講演会のお知らせ - 混合型脈管奇形の会(旧・混合型血管奇形の
乳児血管腫(いちご状血管腫)の治療をサポート 患児の保護者に向けた 
心窩部痛にて発症した気管支動脈蔓状血管腫の1例(A case of racemose 
Tags:
archive